欢迎进入景德镇市昌华玉牙官方网站!
当前位置:首页 > 服务项目 > 牙齿矫正 > 虎牙

儿童出现虎牙需要进行矫正吗

来源:景德镇市昌华玉牙  时间:2023-01-18  浏览次数:816

每个家长都想自己的孩子有一口整齐健康的牙齿,但是许多小孩不知道为什么,会出现虎牙的牙齿问题,很多家长就不知道要如何是好,那么儿童出现虎牙需要进行治疗吗?昌华玉牙的专家为大家介绍。

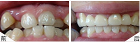
对于虎牙没有向外长,许多家长就会觉得自己孩子有虎牙非常好看,但是对虎牙外突严重的,就需要及时去口腔医院进行治疗。不然会带来许多危害。

image.png

【儿童虎牙带来的影响】

一、面部影响:虎牙会顶着嘴唇,会显得脸部丰满。要是虎牙过部外露,则会显得脸显大方脸,不是很协调。

二、影响其他牙齿:虎牙虽然可以撕碎食物,但是如果虎牙过度空出,使之上下颌牙齿咬合不正,会导致颞下颌关节等疾病,会影响到我们人体健康。

三、影响美观:严重的虎牙对牙齿整齐美观会有很大的影响,对小孩的发音也会有不小的影响,所以虎牙问题要及时的进行治疗。

【专家建议】对于小孩子虎牙一定要及时的进行矫正治疗,虽然有的虎牙不会给小孩带来影响,但是及时的矫正可以避免以后虎牙带来的影响。昌华玉牙采用prussian靶向无形正畸系统,可以很好的矫正虎牙,而且隐形,不需要拔牙。

儿童出现虎牙需要进行治疗吗

上面是对儿童出现虎牙需要进行治疗吗的简单介绍,还有其它疑问,可以随时与我们专业的口腔医师进行交流,欢迎在线了解,由权威专家为您在线解答相关疾病问题,并根据病情提供最专业的治疗方案。



就诊
流程

在线客服

在线预约

预约成功

到院就诊

  • 占昌华

    占昌华
    院长,昌华玉牙连锁机构创始人 在线客服

  • 白彭

    白彭
    特邀专家 在线客服

  • 周恩宝

    周恩宝
    门诊主任 · 门诊主任 在线客服

  • 陈瑞玲

    陈瑞玲
    昌华玉牙口腔门诊主任 在线客服

  • 王亚光

    王亚光
    昌华玉牙口腔门诊主任 在线客服

在线
客服

咨询口腔问题口腔问题全知道

网络预约省排队快捷 方便 省心

预约
挂号